Telefon: 98 92 42 22

Blegning

Tændernes farve er gullig-hvid. Når man ser på en fortand er tyggekanten mest hvidlig mens tandens farve langs tandkødskanten er mere gul. Hjørnetanden er mere gul og tæt i farven end fortænderne. Der vil ofte være stor forskel fra person til person afhængig af alder, evt. fyldninger og indre eller ydre misfarvninger.

En grundig rensning og pudsning af tænderne vil kunne fjerne de misfarvninger der stammer fra mad, tobak, kaffe, te og tandsten.

Misfarvninger der sidder dybere i tanden kan ofte bleges.

Blegningen foretages vha. blegeskinner og blegegel. Tænderne kan i blegeperioden være lidt følsomme.

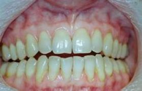
Før Blegning

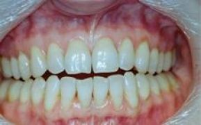
Efter blegning

Tandlægerne Strømgade

Strømgade 4, 2. tv.
9800 Hjørring
Telefon: 98 92 42 22
Denne e-mail adresse bliver beskyttet mod spambots. Du skal have JavaScript aktiveret for at vise den.

Læs mere om klinikken her

Kontakt os
Fill out my online form.
  • Mandag
    08.00 - 16.30
  • Tirsdag
    08.00 - 16.30
  • Onsdag
    07.00 - 14.00
  • Torsdag
    08.00 - 17.00
  • Fredag
    08.00 - 15.00
  • Lørdag
    LUKKET
  • Søndag
    LUKKET
Uden for vores åbningstider henviser vi til tandlægevagten, læs mere her.

Tandlægevagt

Weekend og helligdage imellem kl. 9.00 og kl. 10.00.

Ring på telefon 70 20 02 55 for at få kontakt med vagttandlægen.

Hvis der skal foretages en behandling sker dette på den kommunale klinik i Aalborg


Tandlægerne Frilandsvej |  Frilandsvej 113  |  9800 Hjørring  |  Telefon: 98 92 42 22  |  Denne e-mail adresse bliver beskyttet mod spambots. Du skal have JavaScript aktiveret for at vise den.