Telefon: 98 92 42 22

Kosmetisk tandbehandling

Dit smil siger det hele
Det gør en utrolig stor forskel i førstehåndsindtrykket, men også i den almindelige hverdag, at man har et flot smil.
Et flot smil giver selvtillid, velvære og tænder glæde.

Psykologer fortæller at samfundet behandler smukke mennesker og "almindelige" mennesker forskelligt. Munden er så stor en del af skønhedsidealet at værdien af dens udseende ikke bør overses.
Naturligvis er de indre værdier vigtige og skal plejes, men du bliver som et helt nyt menneske igen med en kosmetisk tandbehandling.

Fortæl os endelig om dit problem hvis du er ked af/generes af noget ved dine tænder.

Der er mange mugligheder.

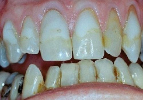
Før behandling

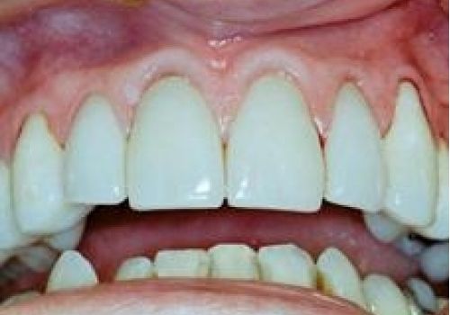
Efter behandling

Tandlægerne Strømgade

Strømgade 4, 2. tv.
9800 Hjørring
Telefon: 98 92 42 22
Denne e-mail adresse bliver beskyttet mod spambots. Du skal have JavaScript aktiveret for at vise den.

Læs mere om klinikken her

Kontakt os
Fill out my online form.
  • Mandag
    08.00 - 16.30
  • Tirsdag
    08.00 - 16.30
  • Onsdag
    07.00 - 14.00
  • Torsdag
    08.00 - 17.00
  • Fredag
    08.00 - 15.00
  • Lørdag
    LUKKET
  • Søndag
    LUKKET
Uden for vores åbningstider henviser vi til tandlægevagten, læs mere her.

Tandlægevagt

Weekend og helligdage imellem kl. 9.00 og kl. 10.00.

Ring på telefon 70 20 02 55 for at få kontakt med vagttandlægen.

Hvis der skal foretages en behandling sker dette på den kommunale klinik i Aalborg


Tandlægerne Frilandsvej |  Frilandsvej 113  |  9800 Hjørring  |  Telefon: 98 92 42 22  |  Denne e-mail adresse bliver beskyttet mod spambots. Du skal have JavaScript aktiveret for at vise den.